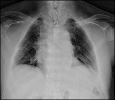
서울대병원은 29일 기자회견을 갖고 "노태우 전 대통령의 흉부 우측 주기관지를 관통하고 있던 금속성 이물질(침)을 28일 전신마취를 통해 제거했다"며 언론에 사진을 공개했다.
이날 공개된 X-ray 사진에는 7㎝ 길이의 금속 침이 노태우 전 대통령의 가슴 오른쪽 폐 속으로 연결된 양쪽 조직을 관통하고 있다. 노 전 대통령은 지난 27일 오후 2시경 오른쪽 폐에서 침이 발견돼 제거 수술을 받기 위해 입원한 것으로 알려졌다.
서울대병원측은 4월 28일 오전 전신마취 하에 내시경을 이용해 성공적으로 침을 제거했다.
| |
| <노태우 전 대통령 엑스레이 사진> |
저작권자 © 소비자가 만드는 신문 무단전재 및 재배포 금지

